Хабаровские врачи спасли руку пациенту
Один пациент, две сочетанные операции и как итог — спасенная рука В ККБ им.
Один пациент, две сочетанные операции и как итог — спасенная рука
В ККБ им. Сергеева поступила женщина с острым нарушением кровообращения в правой руке, сообщает Khabara.ru .
Из-за отсутствия кровотока на конечности проявился акроцианоз — кожные покровы приобрели синюшный цвет.
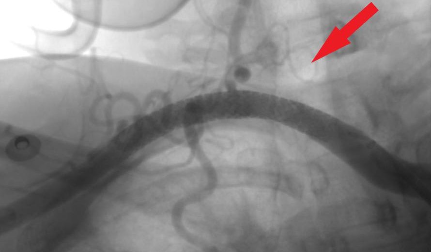
Дообследование пациентки показало серьезное поражение сразу нескольких сегментов артерий руки. Был выявлен тромбоз плечевой артерии (также артерий предплечья и артерий кисти) в сочетании со стенозом подключичной артерии.
Первым этапом пациентка попала на операционный стол к сосудистым хирургам, где ей была выполнена тромбэктомия (удален протяженный тромб) плечевой артерии.
Далее женщину перевезли в операционную рентгенэндоваскулярной хирургии, где уже с помощью раздувания небольшим баллонным катетером (2 мм) выполнено восстановление кровотока в артериях предплечья и кисти, после этого на подключичной артерии пораженной конечности была выполнена баллонная ангиопластика со стентированием (расширение сузившейся артерии с помощью специального стента).
Благодаря техническим и профессиональным возможностям, а также многофункциональности ККБ им. Сергеева рука пациентки была спасена.
При позднем обращении, а также при невозможности выполнить полное восстановление кровотока, патологическое состояние может привести к ампутация конечности.
В ККБ им. Сергеева поступила женщина с острым нарушением кровообращения в правой руке, сообщает Khabara.ru .
Из-за отсутствия кровотока на конечности проявился акроцианоз — кожные покровы приобрели синюшный цвет.
Дообследование пациентки показало серьезное поражение сразу нескольких сегментов артерий руки. Был выявлен тромбоз плечевой артерии (также артерий предплечья и артерий кисти) в сочетании со стенозом подключичной артерии.
Первым этапом пациентка попала на операционный стол к сосудистым хирургам, где ей была выполнена тромбэктомия (удален протяженный тромб) плечевой артерии.
Далее женщину перевезли в операционную рентгенэндоваскулярной хирургии, где уже с помощью раздувания небольшим баллонным катетером (2 мм) выполнено восстановление кровотока в артериях предплечья и кисти, после этого на подключичной артерии пораженной конечности была выполнена баллонная ангиопластика со стентированием (расширение сузившейся артерии с помощью специального стента).
Благодаря техническим и профессиональным возможностям, а также многофункциональности ККБ им. Сергеева рука пациентки была спасена.
При позднем обращении, а также при невозможности выполнить полное восстановление кровотока, патологическое состояние может привести к ампутация конечности.
Последние новости
Китайская уличная еда: рецепты, которые можно повторить дома
Откройте для себя вкусные и простые блюда китайской уличной кухни, которые легко приготовить в домашних условиях.
Всегда ли в проблемах с сердцем виноваты "плохие гены"
Каковы шансы сохранить здоровое сердце, если в роду были сердечники Как оценить семейные риски сердечных заболеваний, объяснила кардиолог.
Мошенники разводят россиян с помощью "волшебных пилюль" для похудения
Объявления о доставке таблеток для похудения оказались ловушкой Россиян предупредили о мошеннических сайтах, предлагающих препараты для похудения, вызвавшие ажиотаж в России.
Куда пойти с детьми в Уфе: 10 весёлых мест на выходные
Идеи для семейного отдыха в столице Башкортостана — от активных игр до познавательных музеев
На этом сайте представлены актуальные варианты, чтобы снять квартиру в Феодосии на выгодных условиях